制剂名称:丹蛭降糖胶囊
主治功能:益气养阴、活血通络,针对糖尿病及其并发症气虚阴亏、血瘀痰浊的病机特点创制的临床验方,在糖尿病及其并发症的临床治疗中有良好治疗效果。
制剂优势:丹蛭降糖胶囊研发于“十二五”国家科技重大新药创制项目(丹蛭降糖胶囊治疗糖尿病血管病变的开发研究,编号2010ZX09102-209),承担国家自然科学基金3项、安徽省科技厅重大研究等专项项目。丹蛭降糖胶囊不仅能够降低患者的空腹血糖、餐后2h血糖、糖化血红蛋白的表达水平,还可以改善三酰甘油、总胆固醇、低密度脂蛋白胆固醇、高密度脂蛋白胆固醇的表达水平,调节血脂代谢,在IGT人群及合并大血管病变的患者中发挥抗栓降脂的作用,延缓血糖血脂升高引起并发症的病程进展。本品成功获得医疗机构制剂注册证(皖药制字Z20090006)。
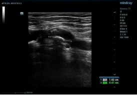
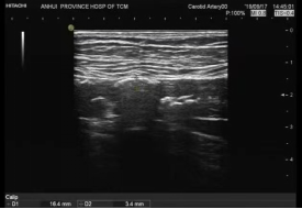
用药效果:丹蛭降糖胶囊对2型糖尿病合并下肢大血管病变治疗前后下肢多普勒超声比较

治疗前

治疗后
基础降糖治疗患者治疗后下肢多普勒超声图无明显改善,基础治疗的基础上加用丹蛭降糖胶囊口服患者治疗后下肢多普勒超声图显示下肢动脉内-中膜厚度稍下降,斑块面积稍有缩小。
经典组方:太子参、丹皮、生地黄、泽泻、菟丝子、水蛭。
君臣佐使:太子参甘平,善补益脾肾之气;生地黄甘凉质润,滋养脾肾之阴,且有明确的降糖作用;两者联用气阴并补同为君药;菟丝子功擅填精益髓,补肾固精、滋养肝肾为臣;佐以牡丹皮、水蛭凉血活血、化瘀通络, 使肾络通畅;泽泻疏利肾水、清热祛痰浊。
获得证书:
如有意向,请联系:
屈老师:18158862317(微信同号)
赵老师:18756909884(微信同号)